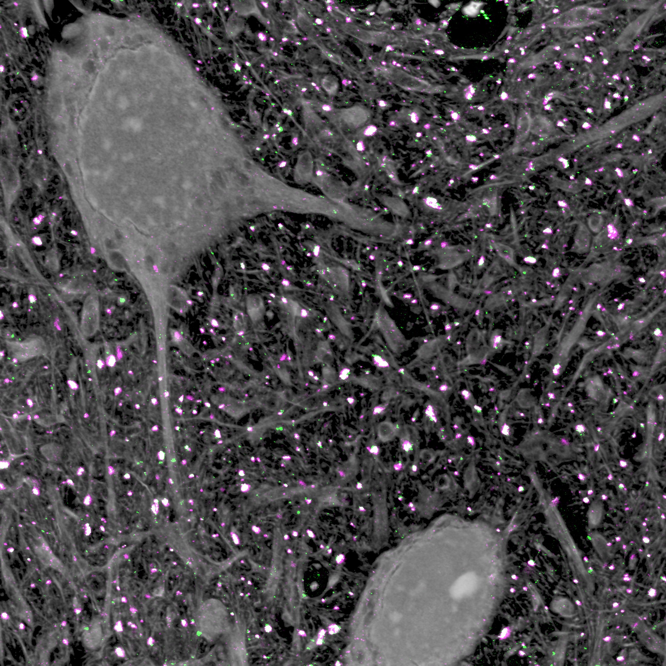
Publication: Beyond 4×: pathways to higher expansion factors in expansion microscopy
In our first contribution to an academic publication as a…

Automated, Deformation-Free Expansion Microscopy
At visualise.bio, we aim to standardise expansion microscopy (ExM) through automation and quality control solutions. Our goal is to make high-resolution 3D imaging accessible and reliable, enabling detailed and reproducible ExM for all.

The GelCast sample processing robot automates all steps of the ExM workflow, sample in → slide out, ready for imaging. By processing samples in a well-plate format, it ensures increased throughput and reliability – with no need for manual intervention.
GelMap provides intrinsic calibration and deformation mapping for expansion microscopy. By introducing a fluorescent grid into the hydrogel, GelMap accurately determines local expansion factors and corrects for deformations to ensure high-quality, reliable imaging – an essential component for precise and reproducible ExM workflows.


Our GelPlates are custom designed well plates with a separated chamber for addition and aspiration of buffers. Handle gels with ease and confidence without risking interfering with your sample.
Keep up to date with our latest activities! Click on each title for more information.
In our first contribution to an academic publication as a…
We’re really happy to welcome Sebas Koedam to the team as a…
We’re excited to share that Kiran Sreekumar has joined us…
We’re excited to announce our plans for our GelCast automated…
We were proud to take part and sponsor GEF25, celebrating…
Big milestone for the Visualise.bio team at the Innovative Imaging…
We’re pleased to announce our new joint application note with…





















© 2026 Visualise.bio | All Rights Reserved